Un cas clinique de pseudokyste pulmonaire
Dr Julie EVEN-QUIQUET, Dr Geoffrey TROUSSIER (CHV Saint-Martin)
Une chienne Golden Retriever femelle stérilisée de 8 ans est présentée en consultation d’urgence suite à une chute de 6 mètres quelques heures auparavant. Elle présente une raideur au niveau du train arrière.
A l’admission, elle présente un bon état général. L’examen clinique général montre une polypnée sans autre anomalie à l’auscultation cardio-pulmonaire. L’examen orthopédique met en évidence une augmentation du polygone de sustentation ainsi qu’une faiblesse du train arrière sans aucune douleur lors de la manipulation.
Un bilan traumatologique est réalisé. Le bilan sanguin (lactatémie, glycémie, hématocrite, protéines totales) est normal. Des POCUS thoraciques et abdominaux sont réalisés, sans anomalie à l’admission. Une radiographie du bassin ne montre aucune anomalie. Des radiographies thoraciques sont réalisées quelques heures après l’admission (figures 1, 2 et 3).
QUESTIONS / RÉPONSES
1. Interpréter les radiographies du thorax
RÉPONSE
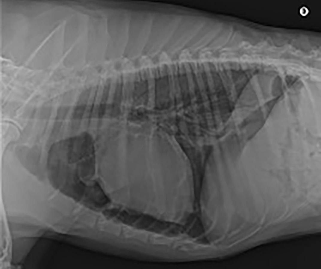
Aucune anomalie n’est visualisée au sein des structures extra-thoraciques. Au niveau des structures intrathoraciques, nous observons un discret pneumothorax ainsi que des contusions pulmonaires, plus marquées à droite. Nous observons également la présence de deux bulles pulmonaires, une de grande taille au niveau du lobe caudal gauche et une de taille moyenne au niveau d’un des lobes crâniaux (bulle non retrouvée sur la vue de face).
Figure 4 : Radiographie du thorax à l’admission, vue de profil droit légendée
2. Quelle est votre prise en charge ? Quel autre examen complémentaire peut être intéressant ?
RÉPONSE
En ce qui concerne le pneumothorax, en l’absence de symptômes cliniques, une approche conservatrice avec surveillance de la fréquence respiratoire et oxygénothérapie au besoin est indiquée1. Si l’animal devient clinique de son pneumothorax (dyspnée, diminution de la saturation), une thoracocentèse est à réaliser en première intention. Celle-ci peut être suivie par la pose de drains thoraciques avec aspiration discontinue à continue selon la vitesse de remplissage des drains1.
En ce qui concerne les masses cavitaires visibles à la radiographie, le diagnostic différentiel est le suivant : emphysème, pneumatocèle, pseudokyste pulmonaire, bulle, bleb, kyste bronchique, bronchiectasie, néoplasie, granulome, abcès, emphysème bulleux idiopathique2. Un scanner thoracique est donc réalisé afin d’affiner le diagnostic (figures 5 et 6).
Figure 5 : Scanner en coupe transversale du thorax. Noter le pneumothorax bilatéral (triangles) et les lésions ovoïdes encapsulées liquidienne et mixte liquidienne/gazeux aux marges des lobes pulmonaires (flèches).
Figure 6 : Scanner en coupe transversale du thorax. Noter le pneumothorax bilatéral (triangles) et les plages pulmonaires en verre dépoli à alvéolaires compatible avec des contusions pulmonaires (flèches).
Le scanner est en faveur de pseudokystes ou de bulles pulmonaires.
Les pseudokystes pulmonaires sont des lésions traumatiques ovoïdes à contenu mixte liquidien et aérique. Leur paroi est constituée d’un tissu interstitiel interlobaire qui se développe après le traumatisme. Leur mécanisme d’apparition serait la conséquence de forces de cisaillement causant des lacérations du parenchyme pulmonaire sans rupture de la plèvre viscérale, accompagné d’un échappement d’air ou de liquide qui aboutit à la formation d’une cavité qui grossit jusqu’à ce que la pression dans la cavité soit égale à celle du parenchyme qui l‘entoure. Ils sont plutôt décrits chez les jeunes puisque le thorax a une plus grande élasticité et apparaissent dans les 24-48 heures suivant le traumatisme. Leur localisation est variable et leur taille peut atteindre 15 cm. Le scanner est plus sensible que la radiographie pour le diagnostic de cette entité, puisque la radiographie thoracique ne permet de mettre en évidence que de 24 à 50% des pseudokystes. La réalisation d’une IRM peut être intéressante afin de déterminer la nature du liquide contenu dans le pseudokyste. Ces kystes régressent naturellement en quelques semaines. Les animaux sont considérés comme critiques et nécessitent une surveillance accrue dans les 5 jours suivant le traumatisme, compte tenu du risque de pneumothorax sous tension 2, 4.
Les bulles pulmonaires sont quant à elles la résultante de la destruction, de la dilatation et de la confluence d’alvéoles pulmonaires. Elles sont situées entre le parenchyme pulmonaire et la plèvre viscérale et sont remplies d’air5.
Nota bene : les blebs pulmonaires peuvent être considérés par certains comme des « petites bulles pulmonaires » mais ils diffèrent histologiquement des bulles car ils sont situés entre les deux feuillets de la plèvre viscérale5.
3. Quelle est la prise en charge idéale ?
RÉPONSE
Les pneumothorax spontanés sont en majorité secondaires à la rupture de bulles ou de blebs pulmonaires3. Dans notre cas, nous sommes face à une suspicion de pseudokystes ou de bulles pulmonaires. Plusieurs approches sont alors envisageables : réaliser une lobectomie partielle afin de retirer les masses cavitaires pulmonaires ou préférer une approche conservatrice avec contrôle radiographique régulier mais avec la possibilité que, si ce sont des bulles pulmonaires, celles-ci finissent par se rompre et causer un pneumothorax spontané.
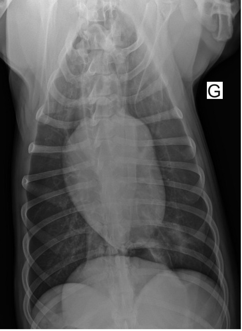
Il est décidé de réaliser une approche conservatrice. Un rendez-vous de contrôle est fixé 15 jours après l’accident. La chienne est en bon état général et sa fréquence respiratoire est dans les normes de l’espèce. Des radiographies thoraciques sont réalisées et montrent une normalisation des images avec disparition des pseudokystes (figures 7 et 8).
Figure 7 : Radiographie du thorax lors du contrôle, vue de profil droit.
Figure 8 : Radiographie du thorax lors du contrôle, vue ventro-dorsale.
RÉFÉRENCES BIBLIOGRAPHIQUES
- Kenneth J. Drobatz et al. Pneumothorax in: Textbook of Small Animal Emergency Medicine, Hoboken: John Wiley and Sons, Inc. 2019; 278-284
- Pablo Barge et al. Traumatic pulmonary pseudocysts associated to pneumothorax and rib fractures in a dog, Vet Rec Case Rep 2018; 6:2
- Cassandra Gilday et al. Spontaneous Pneumothorax: Management and Prognosis, Topics in Companion An Med 2021 Nov; 45:100582
- Natosha Mulholland et Iain Keir, Traumatic Pulmonary Pseudocysts in a Young Dog Following Non-penetrating Blunt Thoracic Trauma, Frontiers in Veterinary Science, 2019; 6:237
- Spontaneous Pneumothorax Caused by Pulmonary Blebs and Bullae in 12 Dogs, Journal of the American Animal Hospital Association, 2003; 39(5):435-45



