Ankylose et pseudo-ankylose temporo-mandibulaires post-traumatiques chez deux chats
Dr Marianne ROUX, Dr Marcos GARCIA, Dr Fabrice BERNARD (CHV Saint-Martin)
L’ankylose de l’articulation temporo-mandibulaire est une affection peu courante, très débilitante, majoritairement consécutive à un traumatisme, nécessitant une prise en charge chirurgicale.
- L’ankylose temporo-mandibulaire est une affection rare mais fortement débilitante, le plus souvent secondaire à un traumatisme.
- L’examen tomodensitométrique constitue l’examen de choix afin de visualiser l’articulation dans son ensemble et d’objectiver les remaniements
- Une intervention chirurgicale incluant l’exérèse des éléments osseux responsables de l’ankylose est indispensable mais l’intubation endotrachéale standard peut être compliquée par la réduction d’amplitude d’ouverture de la cavité buccale.
- Les complications post-opératoires incluent une récidive de l’ankylose notamment chez de jeunes animaux, une instabilité mandibulaire (déviation) ou encore une malocclusion dentaire.
CAS CLINIQUES
Premier cas
Un chat européen de 8 mois est présenté pour incapacité totale d’ouverture de la cavité buccale suite à un probable accident de la voie publique survenu à l’âge de 2 mois ayant entraîné une luxation bilatérale de la mandibule ainsi qu’une disjonction de la symphyse mandibulaire réparée alors à l’aide d’un cerclage.
Examen clinique
Le chat apparaît amaigri et une impossibilité totale d’ouverture de la cavité buccale est mise en évidence sans signe de douleur à la manipulation. L’extrémité rostrale de la langue est visible en permanence.
Diagnostic différentiel
Les principales hypothèses compte-tenu des lésions initiales et de la durée d’évolution sont une ankylose temporo-mandibulaire consécutive à la luxation bilatérale de l’ATM ou une persistance de la luxation. Une ou des fractures ou un néoplasme sont également envisageables.
Examens complémentaires
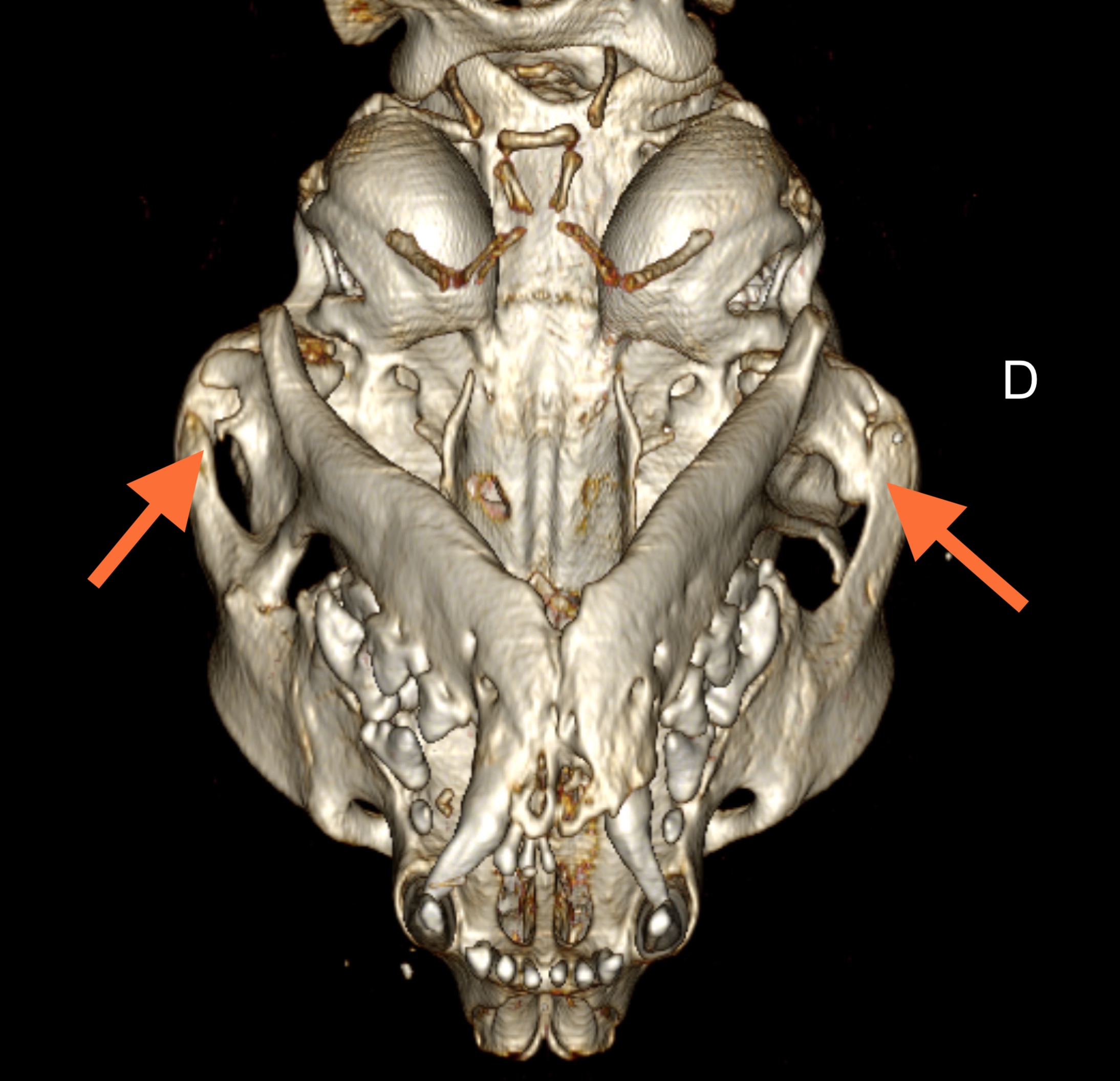
Un examen tomodensitométrique est réalisé afin de visualiser les lésions en trois dimensions et faciliter la prise en charge chirurgicale. Des remaniements sévères des branches montantes des mandibules qui apparaissent épaissies et déviées caudalement sont mis en évidence. A gauche, un pontage osseux complet est observé entre le bord crânial de la branche montante de la mandibule et le processus temporal de l’os zygomatique, de même le bord caudal de la branche montante de la mandibule forme un pont osseux incomplet avec le processus zygomatique de l’os temporal gauche. A droite, un éperon osseux se détache également du bord crânial de la branche mandibulaire en direction de l’arcade zygomatique droite et le bord caudal de la branche montante de la mandibule droite forme un pont osseux complet avec le processus zygomatique de l’os temporal droit. Les articulations temporo-mandibulaires restent symétriques. Une malocclusion dentaire est également visualisée secondaire à une déviation modérée à droite de la mandibule.
Diagnostic
Pseudo-ankylose bilatérale des ATM.
Traitement
L’animal est anesthésié. L’ouverture de la gueule étant impossible une trachéostomie temporaire a été nécessaire. Pour cela une sonde de trachéostomie est mise en place par trachéotomie ventrale entre le 3eme et le 5eme anneau trachéal. Un abord latéral droit à l’ATM, passant ventralement à l’arc zygomatique, est effectué. Dans un premier temps le pontage osseux entre le bord caudal de la branche montante de la mandibule droite et le processus zygomatique de l’os temporal droit est réséqué à l’aide d’une fraise et d’une pince gouge. Les condyles mandibulaires sont excisés largement en utilisant une scie oscillante, en prenant soin d’éviter l’artère maxillaire, médiale au condyle. Ce protocole opératoire est ensuite répété sur l’ATM gauche.

Voie d’abord chirurgicale. La flèche orange indique le condyle mandibulaire, la jaune indique l’os temporal (orientation : aspect rostral à gauche, aspect caudal à droite).
En période postopératoire l’occlusion est correcte, aucune déviation mandibulaire n’est mise en évidence. L’ouverture de la cavité buccale est satisfaisante, autorisant le retrait de la sonde de trachéostomie.
L’animal a repris spontanément l’alimentation 12 heures après la chirurgie sous forme liquide à laper, sans pose de sonde de réalimentation, permettant ainsi de favoriser la mobilisation mandibulaire.
Le chat est rendu à ses propriétaires 24 heures après l’intervention. Les aliments fournis étaient dans un premier temps sous forme liquide pendant quelques jours puis sous forme molle dès que l’animal était apte à mastiquer davantage (mousse, puis pâté en sauce).
Suivi
Un suivi téléphonique un an plus tard est réalisé. En post-opératoire, l’animal a repris l’alimentation immédiatement après le retour à la maison : tout d’abord sous forme liquide pendant deux semaines puis sous forme molle pendant un mois et demi. Deux mois après la chirurgie l’alimentation solide a pu être reprise. A l’heure actuelle, sa mobilité mandibulaire et son occlusion buccale sont normales et l’animal mange, baille, mastique et mordille normalement.
Deuxième cas
Un chat Bengal stérilisé de 3,5 ans est présenté pour diminution d’amplitude d’ouverture de la cavité buccale et difficulté à la préhension suite à un traumatisme facial secondaire à un accident de la voie publique. L’animal avait été vu initialement au centre hospitalier deux mois auparavant, un traitement conservateur avait été mis en place après le diagnostic au scanner de multiples fractures du crâne non chirurgicales dont une fracture articulaire du processus condylaire de la mandibule et une fracture du processus coronoïde de la mandibule à droite. Une disjonction de la symphyse mandibulaire était présente, stabilisée alors par cerclage.
Examen clinique
Le chat est amaigri et présente une amplitude d’ouverture de la cavité buccale réduite à moins d’un centimètre sans douleur à la manipulation, associée à une malocclusion dentaire caractérisée par une déviation à gauche de la mandibule, des ulcères buccaux et un ptyalisme marqué. Aucune malformation du crâne n’est objectivée à l’examen de la face. L’examen neurologique objective une paralysie du nerf facial droit. L’examen ophtalmologique révèle un ulcère cornéen superficiel débutant à droite.
Diagnostic différentiel
Comme dans le cas précédent, la principale hypothèse compte tenu des lésions initiales et de la durée d’évolution est une ankylose temporo-mandibulaire consécutive à un défaut de cicatrisation osseuse des fractures objectivées initialement, et notamment de la fracture du condyle mandibulaire droit. Une luxation secondaire aux fractures ou un néoplasme sont également envisageables.
Examens complémentaires
L’examen tomodensitométrique met en évidence une persistance de la fracture articulaire peu déplacée du processus condylaire de la mandibule droite et l’apparition d’une réduction de l’interligne articulaire temporo-mandibulaire évoquant une incongruence articulaire, non visualisée deux mois auparavant. De multiples fractures peu déplacées des structures osseuses de la face et du nez persistent, à l’origine d’une déviation à gauche du massif nasal. Enfin une lésion de fibrose cicatricielle du muscle masséter droit est mise en évidence en regard de l’aire de passage du nerf facial.
Diagnostic
Ankylose unilatérale de l’ATM associée à une paralysie faciale à droite. La cause de la paralysie faciale droite n’est pas certaine, l’hypothèse principale est que la lésion de fibrose cicatricielle du muscle masséter ait pu entraîner une lésion secondaire du nerf facial (inflammatoire ou syndrome des loges par exemple).
Traitement
Une condylectomie droite est effectuée, comme décrit dans le cas précédant. En période postopératoire l’occlusion et l’ouverture de la cavité buccale sont satisfaisantes, la déviation mandibulaire à gauche n’est plus présente. L’animal reprend spontanément l’alimentation le lendemain de sa chirurgie sous forme liquide à laper.
Les traitements en cours d’hospitalisation sont les mêmes que ceux décrits précédemment. Dans ce cas, même si aucune trachéostomie n’a été nécessaire des antibiotiques ont été mis en place en raison des ulcères buccaux et oculaires décrits précédemment, proches de la plaie chirurgicale, pouvant être source d’infection de la plaie chirurgicale.
Les mêmes recommandations postopératoires que dans le cas précédant ont été formulées. Les traitements après la sortie de l’hôpital incluent le robenacoxib (1,3 mg/kg per os une fois par jour pendant 6 jours) associé à une pommade antibiotique ophtalmologique (Ophtalon® localement 3 fois par jour).
Suivi
Lors du contrôle 7 mois postopératoires, les propriétaires rapportent une bonne récupération postopératoire et un bon état général mais un certain degré de difficultés à la préhension alimentaire. Concernant l’alimentation, il se nourrit exclusivement d’alimentation molle, un retour aux aliments solide n’est pas possible compte tenu des difficultés à la préhension. A l’examen, l’amplitude d’ouverture buccale est satisfaisante sans déviation mandibulaire. La paralysie faciale droite et l’énophtalmie bilatérale sont encore présentes.
DISCUSSION : L’ACTE CHIRURGICAL ET APRÈS ?
Classification des ankyloses
Il en existe deux types [1] : l’ankylose vraie est intra-articulaire, résultant d’un pontage entre les différents os de l’articulation ou d’une incongruence articulaire. La pseudo-ankylose est extra-articulaire, résultant d’un pontage entre la mandibule et les structures osseuses adjacentes.
Les enjeux de l’anesthésie
L’intubation endotrachéale habituellement réalisée lors d’une anesthésie, peut être compliquée du fait de l’impossibilité partielle ou totale d’ouvrir la cavité buccale. Elle peut nécessiter un guidage endoscopique ou une trachéostomie temporaire, nécessaire dans 6 cas sur 7 d’après une étude menée en 2020 sur 7 chats [2]. Récemment une technique d’intubation rétrograde a été décrite [2], consistant à utiliser un guide inséré via la membrane cricothyroïdienne jusqu’à la gueule et permettant ainsi d’insérer par voie antérograde une sonde d’intubation endotrachéale sans visualisation du larynx par la gueule.
Technique chirurgicale
La technique chirurgicale varie en fonction du type d’ankylose impliquée. Lors d’ankylose vraie ou de pseudoankylose compliquée de remaniement de ATM, la condylectomie (arthroplastie excisionnelle du condyle mandibulaire) est la principale technique employée. Lors de pseudoankylose sans atteinte des ATM, une résection des zones de fusion osseuse peut être suffisante [3]. En cas d’ankylose vraie associée à des proliférations osseuses la condylectomie peut se révéler insuffisante et nécessiter la combinaison à des ostéotomies multiples (« gap arthroplasty ») [4]. Enfin en cas d’ankylose unilatérale une mandibulectomie segmentaire peut être envisagée comme alternative à la condylectomie, celle-ci permettant de limiter les traumatismes iatrogènes des tissus environnants inhérent à la condylectomie (cf infra) [5].
Incidents peropératoires et complications fréquentes
En peropératoire les principaux risques sont hémorragiques, liés à la présence de l’artère maxillaire médialement au condyle mandibulaire, et nerveux, liés le passage du nerf facial près du site chirurgical [3]. Dans notre second cas clinique, la paralysie du nerf facial était déjà présente en préopératoire pouvant faire suspecter une lésion nerveuse en lien avec un phénomène cicatriciel de fibrose musculaire du muscle masseter.
Une étude a mis en évidence chez le chien une régénération systématique du condyle mandibulaire à 3 mois postopératoires, plus marquée en portions médiale et rostrale [8]. Ce risque semble majoré chez les jeunes animaux en raison de leur potentiel de cicatrisation/croissance osseuse [9]. Ces complications sont à moduler en l’absence d’étude similaire chez le chat, mais semblent être un élément important à surveiller en période post-opératoire. Ainsi la prévention d’une nouvelle ankylose consécutive à une néoformation osseuse peut notamment reposer sur des jeux privilégiant les mordillements et la mastication et une reprise rapide de l’alimentation [9]
D’autres complications incluent des risques de fibrose musculaire, d’instabilité mandibulaire ou de malocclusion persistante ou secondaire à la chirurgie. Une étude cadavérique [10] a mis en évidence une déviation mandibulaire ipsilatérale systématique consécutivement à une condylectomie unilatérale, laissant supposer l’apparition secondaire de troubles de la mastication.
Un risque plus important de maladie parodontale nécessitant un suivi dentaire régulier a aussi été décrit [4].
CONCLUSION
L’ankylose temporo-mandibulaire au sens large peut toucher des chats et chiens de tout âge ayant dans la majorité des cas subits un traumatisme. Cliniquement l’animal présente une impossibilité d’ouvrir la gueule (« locked jaw syndrome ») parfois associée à une déviation mandibulaire, pouvant entraîner une difficulté à la préhension alimentaire voire une anorexie. La prise en charge de cette affection passe par de l’imagerie en coupe permettant d’identifier les structures à l’origine de l’ankylose, suivie d’une intervention chirurgicale visant à retirer ces structures.
RÉFÉRENCES BIBLIOGRAPHIQUES
- Zavodovskaya R et coll. Intra- and extra-articular features of temporomandibular joint ankylosis in the cat (Felis catus). J Comp Pathol. 2020 ; 175: 39–48.
- Kim D et coll. Modifiel retrograde intubation through the cricothyroid membrane in a cat with temporomandibular joint ankylosis. Vet Med Sci, 2022; 8 : 1341-1346.
- Arzi B. Temporomandibular joint ankylosis and pseudoankylosis. In : Verstraete FJM, Lommer MJ, Arzi B, eds, Oral and Maxillofacial Surgery in Dogs and Cats. 2nd ed. St. Louis : Elsevier ; 2020 : 381–2.
- Aghashani A et coll. Temporomandibular joint gap arthroplasty in cats. Front Vet Sci.2020 ; 7: 482.
- Villamizar-Martinez L et coll. Caudal and middle segmental mandibulectomies for the treatment of unilateral temporomandibular joint ankylosis in cat. JFMS open reports 2022 ; 8 : 1.
- Jose A et coll. Piezoelectric osteoarthrectomy for management of ankylosis of the temporomandibular joint. Br J Oral Maxillofac Surg. 2014 ; 52 : 624–8.
- Hennet P. Piezoelectric bone surgery : A review of the literature and potential applications in veterinary oromaxillofacial surgery. Front Vet Sci. 2015 ; 2 : 1–7.
- Miyamoto H et coll. Regeneration of mandibular condyle following unilateral condylectomy in canines. J Craniomaxillofac Surg. 2004 ; 32: 296–302.
- Maas CP, Theyse LF. Temporomandibular joint ankylosis in cats and dogs : a report of 10 cases. Vet Comp Orthop Traumatol. 2007 ; 20 : 192-7.
- El-Warrak et coll. Temporo-mandibular joint condylectomy and its effect over occlusion in cats : cadaveric study. JSAP, 2011 ; 52, 158-162






